千葉ニュータウンの歯医者|クローバー歯科|VPT、ダイレクトボンディング、インプラント
Case
症例
2025.9.30 左上6番目
ダイレクトボンディング

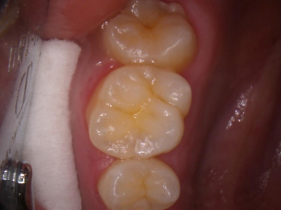
01
治療前の状態です。見た目ではなんとなく黒いかな?くらいの状態です。

02
少し削った状態です。中が黒くなって虫歯になってます。

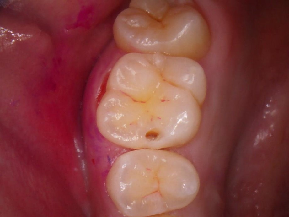
03
虫歯を取り終わった状態です。様々な器具を用いて治療がより精度が良くなるように詰め物していきます。

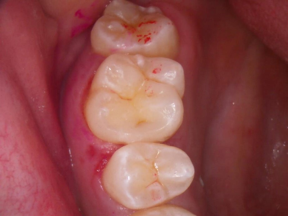
04
治療後です。自然な仕上がりになり、患者さんも喜んでました。

01

02

03

04
01
治療前の状態です。見た目ではなんとなく黒いかな?くらいの状態です。
02
少し削った状態です。中が黒くなって虫歯になってます。
03
虫歯を取り終わった状態です。様々な器具を用いて治療がより精度が良くなるように詰め物していきます。
04
治療後です。自然な仕上がりになり、患者さんも喜んでました。
| 年代・性別 | 20代女性 |
|---|---|
| お悩み(主訴) | 虫歯を治したい |
| 治療内容 | ダイレクトボンディング |
| 治療期間・回数 | 1回 |
| 費用 | ダイレクトボンディング 38,500円(税込) |
| リスク・副作用 | 稀に歯が欠ける事あり |
Greeting
ご挨拶
当院では『自分の歯はかけがえのない財産』と考えてますので
① なるべく歯を削らない
② なるべく歯の神経を残す
③ どうしても歯を失ってしまった部位は
元の歯のようにご飯を食べられるようにする
をコンセプトとして、
『なるべく歯や神経を温存して詰め物する治療』
『インプラント治療』
に特に力を入れてます。

クローバー歯科
院長 霜山 哲一
Feature
当院の特徴
Feature.
01
01

Feature.
03
03

関東に11医院展開する
確かな技術力はお墨付き
千葉県、茨城、東京に計11医院を展開する歯科グループです。当グループは、技術力向上のための講習会を定期的に行い、レベルアップを図っています。
Search
症状・お悩みから探す
Column






