印西市・千葉ニュータウンのインプラントなら【クローバー歯科】
Case
症例
2026.3.19
左下5.6番目インプラント

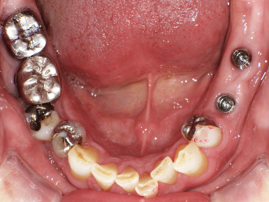
01
インプラントを入れた後の写真です。手術は15分程度で終わりました。術後も痛み止めを1回飲んだだけでその後は全く痛くなかったそうです。

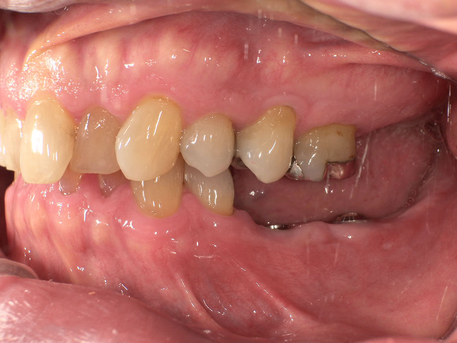
02
横から見た写真です。

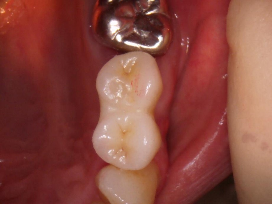
03
上部構造を装着した写真です。無調整で装着できました。

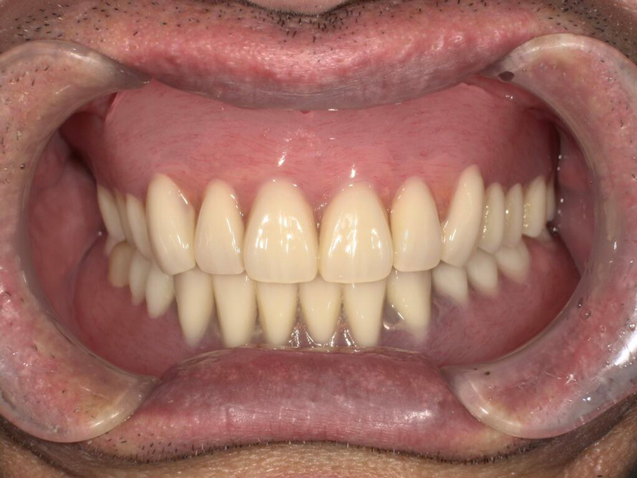
04
横から見た写真です。光が当たってるのでやや白く見えますが、実際はもう少し自然な仕上がりとなってます。

01

02

03

04
01
インプラントを入れた後の写真です。手術は15分程度で終わりました。術後も痛み止めを1回飲んだだけでその後は全く痛くなかったそうです。
02
横から見た写真です。
03
上部構造を装着した写真です。無調整で装着できました。
04
横から見た写真です。光が当たってるのでやや白く見えますが、実際はもう少し自然な仕上がりとなってます。
| 年代・性別 | 70代男性 |
|---|---|
| お悩み(主訴) | ずっと快適に食事をできるようにしたい。他の歯もなるべく失いたくない。 |
| 治療内容 | インプラント |
| 治療期間・回数 | 4ヶ月 |
| 費用 | 973,500円(税込) |
| リスク・副作用 | 治療後痛みが出るリスク、極めて稀に痺れが出るリスク |
Greeting
ご挨拶
印西市、千葉ニュータウン中央にありますクローバー歯科院長の霜山です。
印西市の患者さんが最も多いですが駐車場もございますので、
成田市、白井市からもご来院頂いてます。
当院では『自分の歯はかけがえのない財産』と考えてますので
① なるべく歯を削らない
② なるべく歯の神経を残す
③ どうしても歯を失ってしまった部位は
元の歯のようにご飯を食べられるようにする
をコンセプトとして、
『なるべく歯や神経を温存して詰め物する治療』
『インプラント治療』
に特に力を入れてます。

クローバー歯科
院長 霜山 哲一
Feature
当院の特徴
Feature.
01
01

Feature.
03
03

駐車場7台あり
印西市、千葉ニュータウンからの患者さんは勿論、
白井市や成田市などの患者さんも
お車で安心してご来院頂けます。
Search






