インプラント治療は歯を失ってしまった部位に人工の歯をおぎなう治療です。
当院ではインプラント治療に特に力を入れていて、他院でインプラントは難しいと断られた方の治療も多数行っています。
インプラント
インプラント

インプラント治療は歯を失ってしまった部位に人工の歯をおぎなう治療です。
当院ではインプラント治療に特に力を入れていて、他院でインプラントは難しいと断られた方の治療も多数行っています。
歯を失った後放置すると周りの歯の噛み合わせが大きくずれて飲食等に支障が出るようになり、場合によっては周りの歯も抜歯が必要になってしまいます。
↓放置すると具体的にどうなるかの動画ですのでもし良かったらご覧になってください。
まず前提としてですが歯を補う治療には大きく分けて3種類あります。
それぞれについて詳しく説明していきます。

顎の骨にチタン製のボルトを埋め込み、その上にジルコニア(人工ダイヤモンドのようなもの)を原則としてネジ止めする治療です。
インプラントオーバーデンチャーについてはこちら
インプラントを一言で表現するなら『高いけど入れちゃえば快適!』です。
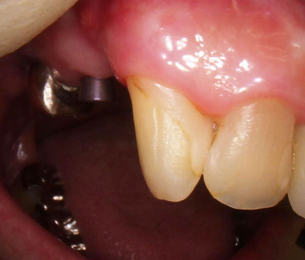
実際の治療例です。

左上5番目が欠損してるので、インプラントを埋入していきます。


インプラントを入れた状態の写真とレントゲンです。
処置自体は20分ほどで終了し、術後の症状もほとんど出なかったとのことでした。
左上7番目にもむし歯があるのでそちらも治療します。

インプラントが骨とくっついたのを2ヶ月ほど待って、7番目と一緒に型取りをしました。
(7番目はむし歯を取って根の治療をしてます)

上物が入った状態です。
非常に綺麗にセットすることができました。
(4番目も銀歯で気になるとのことなので被せ直しました)
顎にボルトを入れて、顎とインプラントが完全にくっつくのを数ヶ月待った後、型取りして上物を作ります。上物は基本的にジルコニア(人工ダイヤモンドのようなもの)になるので見た目は自然となり、固いものも食べられるようになります。入れ歯のような違和感もほとんどないです。
歯を1本失った場合と3本失った場合の治療動画です。
ジルコニアに関してはより信頼出来る技工所さんにお願いしてます。私自身も技工士さんを信頼してるので、安心して治療することが出来てます。マイクロスコープを使って丁寧に作製してくれてます。


ちなみに、こんなの貰えます。自信と責任をもって仕事してないとこんなこと出来ないですからね。とても信頼できます。

当院で使用してるインプラントはストローマンというメーカーのインプラントを使用してます。インプラントを入れた後、非常に長い期間もちやすいとされてるので、そちらのメーカーで治療してます。
(ストローマン社のホームページより抜粋)
ストローマン社のデータによると、インプラントを入れた後の10年生存率は98.8%とのことです。
ちなみに、ブリッジの10年生存率は諸説ありますが30%前後で、入れ歯は6年で30%程度と言われてます。つまりインプラントがなにかとダントツなのですが、デメリットもあります。インプラントは顎の骨に入れるものなので、顎が薄い方の場合は、人工の骨を足したり等追加の処置が必要になる場合があります。そうすると、さらに治療費や治療期間が長くなり、場所によっては治療の成功率も変わってきます。
また、喫煙者や全身疾患がある方も、リスクが高くなったり、場合によっては治療をお断りさせて頂く場合もあります。
結論を言うと『お金をかけてでも残った歯にも優しく、おいしくご飯を食べれるようになりたい』って方にオススメです。
治療費はこちら
インプラントオーバーデンチャーについてはこちら


抜歯した周りの歯を削ります。型取りをして、次の回にブリッジをセメントで合着します。
ブリッジを一言で表現するなら『保険で固いものが食べれるけど歯に1番悪い』
後述する入れ歯と比べると食事のストレスはかなり少ないので、そこは大きなメリットです。
ただし、逆に言えばメリットはそれくらいです。歯を他治療と比べてダントツで削るので当然歯には良くないです。
歯を削るデメリットについてはこちら
あとは設計にもよりますが例えば2本の歯で3本分の咬む力を支えることになるので、当然負担が大きくかかります。ダミーの歯の部分は、スーパーフロスという専用の器具を用いてお掃除してもらうのですが、これがなかなかに面倒です。ちゃんとやらないと、むし歯や歯周病リスクが上がってしまいます。基本的には抜歯した周りに歯があることがブリッジ治療の条件なので、多数歯がない場合などは適用外となります。
ちなみに、ジルコニア という人工ダイヤモンドのような白い材料を用いてブリッジすることも可能ですが、当院では原則として推奨してません。何故かというと、治療費が高額になるにも関わらず、周りの歯を大きく削り、負担をかけることになるからです。全身疾患などでインプラントが難しい、リスクが高いなどの特別な理由がない限りはジルコニアブリッジはやるべきではないと考えてます。
インプラントとブリッジの比較動画です。
ですので、そのようなケースではインプラントをお勧めしております。結論を言うと、『お金はかけたくないし多少歯が犠牲になっても固い物は絶対に食べたい!!!』って方にブリッジはオススメです。

周りの歯を多少削って型取り、次回完成となります。周りの歯にバネをかけて引っかけます。ご自身で着脱してもらう物になります。
入れ歯を一言で表現するなら『保険で出来るけど固い物は食べれない』(個人差あり)です。入れ歯は個人差はありますが、固い物が食べれなくなる物だと思っておくのが無難です。例えば、右側に入れ歯をいれた人に話を聞くとほぼ左で食事してる、と大概は言われます。
上の患者さんに渡す紙にも記載ありますが、咬む力は自分の歯の20%程度になると言われてます。あと、バネがありますしそれなりの大きさなので、異物感を訴える方がほとんどです。中には気持ち悪くてつけてられないなんて方もいらっしゃいます。さらには、ご自身で着脱をして頂くので、食事後は磨いてもらったり、義歯用洗浄剤につけて頂いたりして管理しなければいけません。
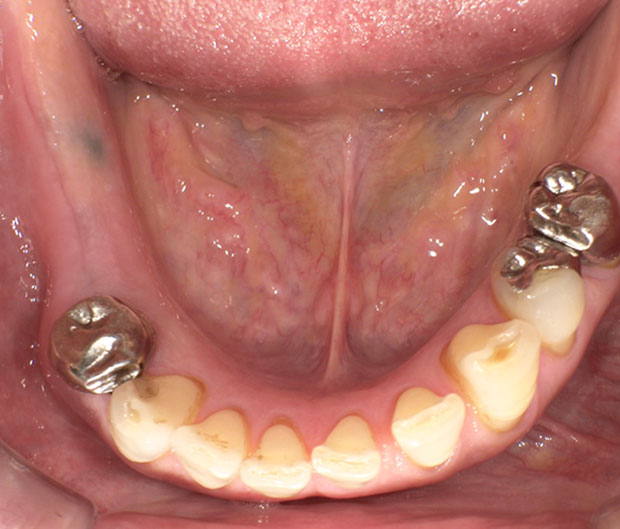
歯を6本失った方の入れ歯とインプラントの比較をします。


この方の場合は、入れ歯だと奥で固い物を噛むのは難しくなります。
左右を連結する針金に違和感を強く訴える方が多いです。
インプラントの場合は固い物も噛めて違和感もほぼなく快適に過ごすことができます。
しかし、着脱出来るが故に綺麗な状態を維持しやすくはあります。ですので、ブリッジと比較すると、ブリッジよりは負担がかからない、ブリッジよりはむし歯歯周病リスクは抑えられる、ということになります。結論を言うと『お金はかけたくないしご飯食べにくくても、なるべく歯に優しい治療をしたい!』って方に入れ歯はオススメです。
まとめです。
歯を失ってしまった方の治療の選択基準はお金をかけても良い方はインプラント一択で良いかと思います。
お金をかけられない方はブリッジ、入れ歯のいずれかになりますが、より快適にご飯を食べたいのを優先する方はブリッジ、より残った歯に優しい治療を優先する方は入れ歯ということになります。
状態によって治療の選択肢も変わりますので、歯でお困りの方はご相談頂ければと思います。
TOP