インプラントオーバーデンチャー
インプラントオーバーデンチャー
通常のインプラント治療は入れ歯を用いませんが、インプラントオーバーデンチャー(以下、IOD)はインプラントと入れ歯の間に磁石を埋め込んで、磁力で入れ歯を安定させる治療です。
通常のインプラント治療より安価で治療が可能となります。
実際の症例です。
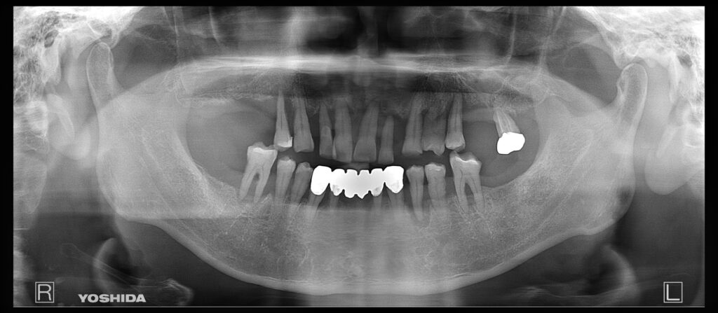
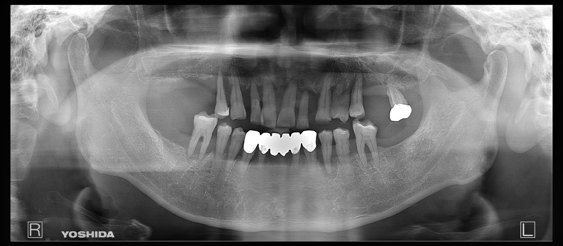
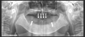
レントゲン写真上でも全顎的に重度の歯周病と診断して、IOD治療を選択されました。
残存歯を抜歯後、上顎は4本、下顎は2本インプラントを埋入しました。
インプラントが顎骨と結合した後、IODを作成しました。
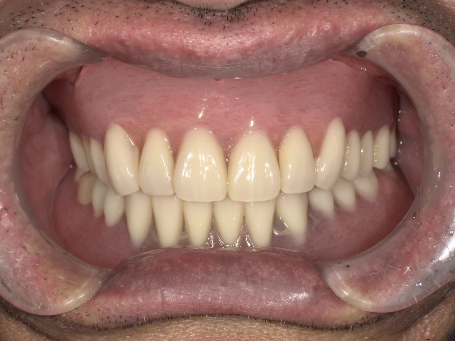
完成した義歯が以下です。
義歯の穴が空いてる部分にマグネットを埋め込んでます。今回は金属床義歯で作製してます。
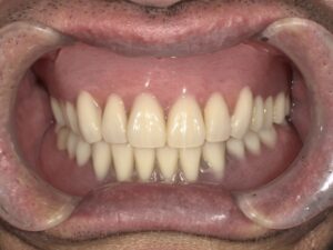
装着してもらった状態です
安定感が非常に高く、本人曰く
『ほとんどの物は咬める』とのことでした。
個人差はあると思いますが、
おせんべいも問題なく咬めるそうです。
ちなみにこの方は総入れ歯ですが、
部分入れ歯でも適用できる場合があります。
※部分入れ歯の症例も患者さんに許可が得られ次第追記しようと思います。
IODのメリット
IODのデメリット
IODは、しっかり治したいけど通常のインプラント治療が金額的に難しい方や、
ご高齢である程度磨きやすい状態にしておきたいけど入れ歯も安定させたい方などに適しています。
当院では人気の高い治療ですので、ご興味ある方はご相談頂ければと思います。
TOP