セラミック治療(審美歯科)
セラミック治療(審美歯科)
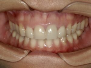
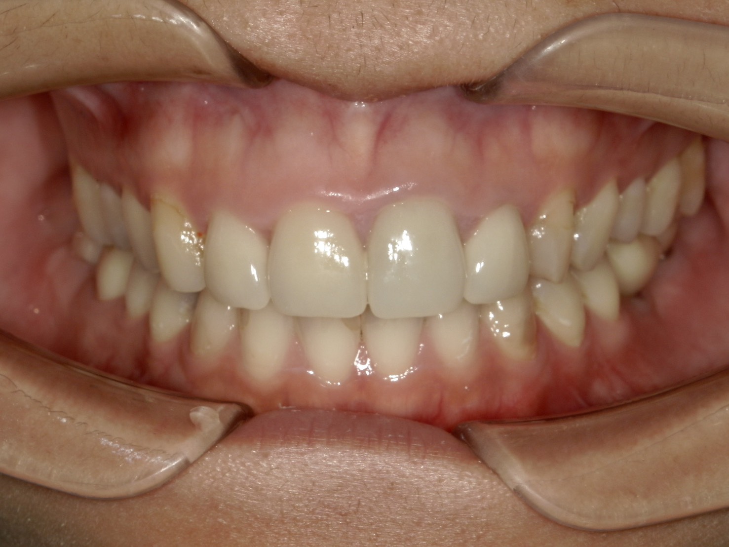
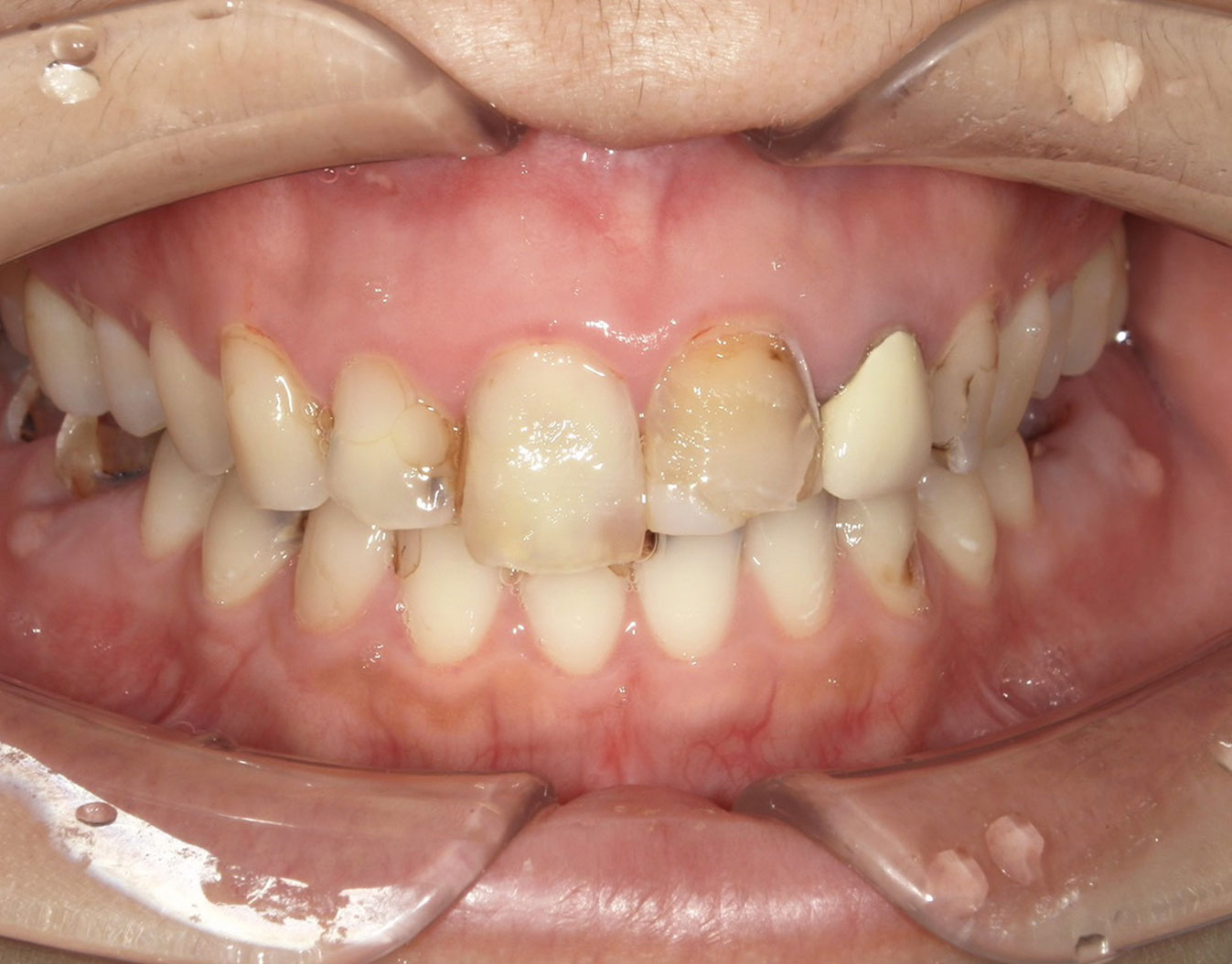
患者さん一人ひとりに適した素材・治療方法をご提案します。
※根の治療が必要な場合などはさらに回数がかかります。
| ジルコニアボンド(前歯) | 154000円(税込) |
|---|---|
| フルジルコニア(奥歯) | 121000円(税込) |
| セラミックインレー | 77000円(税込) |

| セラミック | ダイレクトボンディング | |
|---|---|---|
| 審美性 | ◎とても自然 | ◯自然 |
| 耐久性 | ◎長期間安定 | ◯ |
| 変色 | ほぼなし | 経年で変化あり |
| 治療回数 | 複数回 | 1回が多い |
| 費用 | やや高い | 比較的抑えられる |


TOP